おかげさまで開設25周年WWW.ALDIADEHOY.COM 創業祭

WWW.ALDIADEHOY.COM

詳しくはこちら
マイストア マイストア 変更
  • 即日配送
  • 広告
  • 取置可能
  • 店頭受取

HOT ! アミンヴイ・aminV Goat anti-rabbit IgG (Alexa Fluor® 568) secondary antibody

※WWW.ALDIADEHOY.COM 限定モデル
YouTuberの皆様に商品の使い心地などをご紹介いただいております!
紹介動画はこちら

ネット販売
価格(税込)

6090

  • コメリカード番号登録、コメリカードでお支払いで
    コメリポイント : 5ポイント獲得

コメリポイントについて

購入個数を減らす
購入個数を増やす

お店で受け取る お店で受け取る
(送料無料)

受け取り店舗:

お店を選ぶ

近くの店舗を確認する

納期目安:

13時までに注文→17時までにご用意

17時までに注文→翌朝までにご用意

受け取り方法・送料について

カートに入れる

配送する 配送する

納期目安:

2025.11.01 8:44頃のお届け予定です。

決済方法が、クレジット、代金引換の場合に限ります。その他の決済方法の場合はこちらをご確認ください。

※土・日・祝日の注文の場合や在庫状況によって、商品のお届けにお時間をいただく場合がございます。

即日出荷条件について

受け取り方法・送料について

カートに入れる

欲しいものリストに追加

欲しいものリストに追加されました

アミンヴイ・aminV Goat anti-rabbit IgG (Alexa Fluor® 568) secondary antibodyの詳細情報

Goat anti-rabbit IgG (Alexa Fluor® 568) secondary antibody。Anti-Slow Skeletal Myosin Heavy chain antibody [NOQ7.5.4D。Anti-smooth muscle Myosin heavy chain 11 antibody [EPR5336(B。Anti-Amyloid Precursor Protein 抗体 [Y188] (ab32136) | アブカム。★天然フルボ酸バイオエキス・超微粒子水溶液→アミノ酸・ミネラル・ビタミン類・糖類 の複合体飲料水‼︎★人体・植物・動物 に安全にて、素晴しい効果を発揮している‼︎★血糖値を上げずに免疫力を高める事が出来る‼︎
  • Goat anti-rabbit IgG (Alexa Fluor® 568) secondary antibody
  • Anti-Slow Skeletal Myosin Heavy chain antibody [NOQ7.5.4D
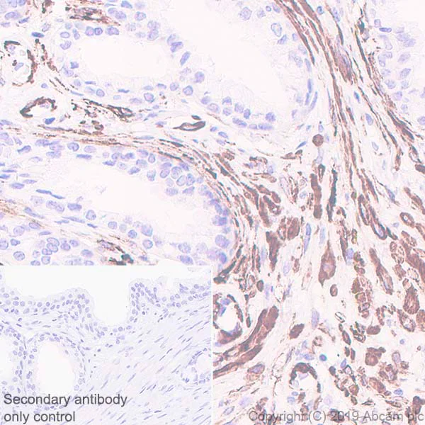
  • Anti-smooth muscle Myosin heavy chain 11 antibody [EPR5336(B
  • Anti-Amyloid Precursor Protein 抗体 [Y188] (ab32136) | アブカム

同じカテゴリの 商品を探す

ベストセラーランキングです

このカテゴリをもっと見る

この商品を見た人はこんな商品も見ています

近くの売り場の商品

このカテゴリをもっと見る

カスタマーレビュー

オススメ度  4.5点

現在、2915件のレビューが投稿されています。